Turkish-TR
English-EN
Arabic-AR
Akdeniz Şifa Diş Kliniği, Fatih/İST.
+90 212 635 35 60
09.00 - 19.00
ANASAYFA
HAKKIMIZDA
HİZMETLER
HEKİMLER
GALERİ
İLETİŞİM
Hizmet Detayı
Anasayfa
Hizmet
Hizmet Detayı
Hizmetler
İmplant
Zirkonyum Kaplama
Lamine Veneer
Estetik Dolgu
Beyazlatma
Endodonti
Pedodonti
Ortodonti
Protez
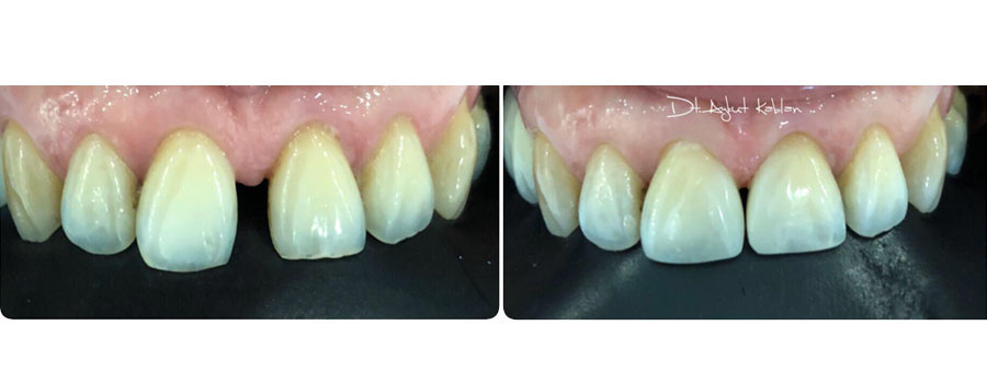
Estetik Dolgu
Estetik dolgu ön dişlerdeki çürük ve kırılmaların tedavisinde kullanılır.
Kompozit tedavisi dişlerdeki kırılma sorunlarını gidermeyle birlikte dişlerin düzgün görünümünü sağlayan estetik bir yöntemdir.
Kompozit dolgular, hazırlanan kavitelere tabaka tabaka yerleştirilir, ardından özel bir ışıkla sertleştirilir.
Bu uygulamanın akabinde kompozit dolgular hastanın dişine göre şekillendirilerek düzeltilir.
İLETİŞİME GEÇ
+90 212 635 35 60